Hydronephrosis

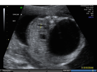
Hydronephrosis unilateral severe axial

What is hydronephrosis?

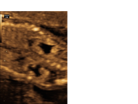
Hydronephrosis refers to the enlargement of the renal pelvis (part of the kidney that collects urine) as a result of an obstruction in the urinary tract. Hydronephrosis occurs in between one and five of every 1000 births. It is more common in males than females.

Hydronephrosis bilateral coronal

How is this condition managed during pregnancy?

If suspected, a detailed ultrasound will be performed to confirm the findings and look for other abnormalities. Fetal echocardiography will be recommended to further evaluate fetal heart structure and function. As other anomalies and genetic abnormalities are associated with this finding, genetic counseling and diagnostic testing are recommended. Prenatal care may involve a maternal-fetal medicine specialist, an obstetrician with special training and expertise in high-risk pregnancies. Prenatal consultations will be arranged with pediatric urology and other subspecialists as appropriate.

What is the typical prognosis for this condition?

Prognosis with hydronephrosis depends upon the type of obstruction, degree of remaining renal function, and the presence of other abnormalities or genetic syndromes. The prognosis for isolated mild hydronephrosis is generally excellent.

Back to top