Hydrothorax

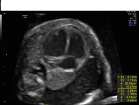
Hydrothorax axial chest

What is hydrothorax?

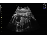
Hydrothorax is a condition involving the abnormal collection of fluid in one or both lungs. It can have many different causes. Hydrothorax is a rare condition, occurring in approximately six in 10,000 pregnancies.

Hydrothorax coronal bilateral

How is this condition managed during pregnancy?

Hydrothorax can occur in the presence of other anomalies or chromosomal abnormalities. Serial ultrasounds are performed to monitor the size of the collections which may increase in size, remain stable, or regress. Severe cases can progress to hydrops, which is a serious complication. Treatments may include drainage of the fluid either by thoracentesis, a procedure involving the removal of fluid via a needle under ultrasound-guidance, or with the placement of a shunt for continuous drainage. Prenatal care will be managed by a maternal-fetal medicine specialist, an obstetrician with special training and expertise in high risk pregnancies. Additionally, a neonatology consultation is recommended to discuss prognosis and management after birth.

Hydrothorax

What is the likely prognosis for this condition?

The prognosis depends on the cause of the hydrothorax, the presence of other anomalies or chromosomal abnormalities, and the development of hydrops. While in utero, the fluid collection may prevent fetal lung tissue from developing normally, placing newborns at risk of respiratory problems after birth.

Back to top