Multicystic Dysplastic Kidney (MCDK)

What are multicystic dysplastic kidneys?

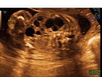
Multicystic dysplastic kidneys (MCDK) occur when one (unilateral) or both (bilateral) kidneys do not develop properly. During formation, the kidney(s) becomes filled with multiple cysts that make it non-functional. MCDK occurs in one out of 1,000 to 5,000 births, with more frequency in males.

Multicystic dysplastic kidney

How is this condition managed during pregnancy?

If suspected, a detailed ultrasound will be performed to confirm the findings and look for other abnormalities. Fetal echocardiography will be recommended to further evaluate fetal heart structure and function. As other anomalies and genetic abnormalities can be associated with this finding, genetic counseling and diagnostic testing may be offered in some cases. Prenatal care may involve a maternal-fetal medicine specialist, an obstetrician with special training and expertise in high-risk pregnancies. Prenatal consultations will be arranged with pediatric urology and other subspecialists as appropriate.

Multicystic dysplastic kidney

What is the likely prognosis for this condition?

The majority of MCDK are unilateral and have a good prognosis. Cases with bilateral MCDK that survive the pregnancy pass away shortly after birth.

Back to top