Holoprosencephaly

Holoprosencephaly

What is holoprosencephaly?

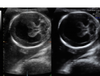
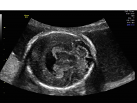
Holoprosencephaly is a severe abnormality in the development of the brain. In normal development, two sides of the brain develop. Holoprosencephaly is a condition in which the two sides of the brain do not separate normally. This condition occurs in approximately one in 8,000 second-trimester pregnancies.

Holoprosencephaly

How is this condition managed during pregnancy?

If suspected, a detailed ultrasound will be performed to look for other abnormalities. A fetal MRI may be recommended to provide a more detailed view of the brain. As other anomalies and genetic abnormalities may be associated with this finding, genetic counseling and testing are recommended. Prenatal consultations with pediatric neurology specialists may be recommended to discuss the condition and its prognosis. Prenatal care will be managed by a maternal-fetal medicine specialist, an obstetrician with special training and expertise in high-risk pregnancies.

What is the prognosis for this condition?

Unfortunately, the prognosis for holoprosencephaly is poor. Survival is possible in less severe cases, however with severe disability. There is no treatment for holoprosencephaly.

Back to top