Agenesis of the Corpus Collosum (ACC)

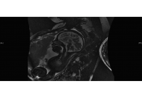
ACC MRI coronal

What is agenesis of the corpus collosum?

The corpus callosum is a collection of nerve fibers that connect the two sides of the brain. In agenesis of the corpus callosum (ACC), these nerve fibers are partially missing or completely absent. ACC occurs in approximately in 3 to 7 in 1,000 live births.

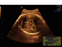
ACC axial non-visualized corpus callosum

How is this condition managed during pregnancy?

When identified during pregnancy, a detailed evaluation of the brain by fetal MRI is recommended. As other physical malformations and genetic abnormalities may be associated with this finding, genetic counseling and testing are recommended. Prenatal consultations with pediatric neurology specialists may be recommended to discuss the condition and its prognosis.

ACC MRI sagittal view

What is the likely prognosis for this condition?

Outcomes for children with ACC can vary widely, ranging from normal intelligence to mild learning disabilities to severe mental retardation and seizure disorders.

Back to top