Cystic Hygroma

What is a cystic hygroma?

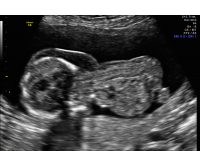
A cystic hygroma refers to an excess fluid accumulation in the space behind the fetal neck and back. Usually observed via ultrasound examination in the first trimester, it affects approximately one in 100 pregnancies.

Cystic hygroma sagittal

How is this condition managed during pregnancy?

Once fetal cystic hygroma has been identified, genetic counseling and testing (chorionic villus sampling or amniocentesis) is highly recommended. About half of these pregnancies will have associated chromosomal abnormalities–such as Down syndrome and Turner syndrome. Subsequent detailed ultrasound examination and fetal echocardiography are recommended.

What is the likely prognosis for this condition?

Ultimately, prognosis will depend on the results of genetic and imaging studies and varies widely.

Back to top