Dandy Walker Malformation and Variants

What is the Dandy Walker malformation?

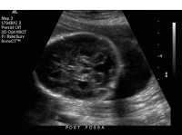
Dandy Walker malformation, Dandy Walker variant, and hypoplasia of the vermis are abnormalities in the development of the cerebellum, a part of the brain located in the back of the head called the posterior fossa. The cerebellum is important for controlling balance and movement. The incidence of Dandy Walker malformation, Dandy Walker variant, and abnormalities of the cerebellar vermis has been reported to occur in anywhere from one in 5,000 to one in 100,000 live births.

Dandy walker malformation

How is this condition managed during pregnancy?

If any of these abnormalities are suspected, a detailed ultrasound will be performed. A fetal MRI will be recommended to provide a more detailed view of the brain. As other anomalies and genetic abnormalities may be associated with this finding, genetic counseling and testing are commonly recommended. Prenatal consultations with pediatric neurology specialists are recommended to discuss the condition and its prognosis. There are currently no treatments recommended prior to delivery. Labor and delivery are not usually affected by these conditions.

How is this condition managed after delivery?

A detailed examination will be performed by the pediatricians after delivery, which may include an ultrasound or MRI. Outcomes for infants born with these conditions are difficult to predict before birth, and can be influenced by the presence of associated physical malformations or genetic abnormalities.

Back to top