Gastroschisis

Gastroschisis

What is gastroschisis?

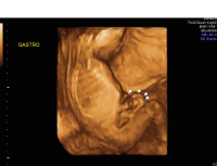
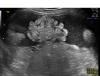
Gastroschisis, which is a type of “ventral wall defect,” is diagnosed when some of the contents of the abdomen protrude out of the body through an opening in the abdominal muscles near the umbilical cord. Having no protective covering, the organs are exposed to amniotic fluid and can become swollen or damaged. Gastroschisis occurs in approximately one in 5,000 births and is typically an isolated birth defect.

Gastroschisis free bowel

How is this condition managed during pregnancy?

During the pregnancy, routine ultrasounds will be performed and your prenatal care will be managed by a maternal-fetal medicine specialist, an obstetrician with special training and expertise in high-risk pregnancies.

How is this condition managed after delivery?

After birth, the organs will be protected by a sterile sheet known as a “silo.” Gradually, the organs will be placed back into the abdomen, at which time the abdomen will be closed surgically. Overall, most children with gastroschisis are able to live very full, active, and productive lives with no long-term health problems.

Back to top