Lower Urinary Tract Obstruction (LUTO)

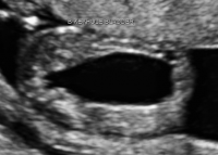
Luto 3D sagittal keyhole bladder

What is a lower urinary tract obstruction?

Lower urinary tract obstruction (LUTO) refers to a blockage in the urinary tract that restricts or prevents the release of urine from the bladder. Accumulation of urine within the kidneys and bladder throughout pregnancy results in permanent damage to these organs. If urine cannot exit the body, the amount of surrounding amniotic fluid decreases. Amniotic fluid is essential for normal lung development. LUTO occurs in about one in 5,000 births.

Luto keyhole bladder

How is this condition managed during pregnancy?

When diagnosed, further evaluation of this condition includes a specialized evaluation of the fetal heart (fetal echocardiogram). As genetic abnormalities may be associated with this finding, genetic counseling and testing are recommended.

Kidney and bladder findings and amniotic fluid volume are monitored with ultrasound in pregnancies complicated by LUTO. In selected cases, in utero therapy via vesicoamniotic shunt placement may be discussed. Briefly, this involves placement of a shunt, or small tube, to connect the fetal bladder with the surrounding amniotic fluid.

Prenatal consultations with pediatric urology specialists and neonatologists are recommended to discuss the condition and its prognosis. Prenatal care will be managed by a maternal-fetal medicine specialist, an obstetrician with special training and expertise in high-risk pregnancies.

Luto keyhole bladder

What is the likely prognosis for this condition?

Among survivors, LUTO is associated with multiple hospitalizations and potentially multiple surgeries. There are long-term risks for chronic renal disease, kidney failure, dialysis, transplantation, and problems with lung development. Bladder dysfunction, predisposing to serious urinary tract infections and possibly requiring life-long self-catheterization, may occur as well as sexual dysfunction, limb abnormalities, and growth disturbances.

Back to top