Omphalocele

What is omphalocele?

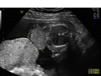
Omphalocele is a type of “ventral wall defect” which is diagnosed when some of the organs of the abdomen protrude through an opening in the abdominal muscles near the umbilical cord insertion into the body. These organs are covered by a clear sac or membrane. Small omphaloceles are seen in one out of every 5,000 newborns, whereas giant omphaloceles are less common, and occur in one of every 10,000 newborns.

Omphalocele

How is this condition managed during pregnancy?

During the pregnancy, routine ultrasounds, fetal echocardiography, and genetic counseling are recommended due to the high association of omphalocele with additional abnormalities and genetic conditions. Your prenatal care will be managed by a maternal-fetal medicine specialist, an obstetrician with special training and expertise in high-risk pregnancies.

Omphalocele axial view

How is this condition managed after delivery?

In general, small omphaloceles can be repaired shortly after birth. Intestines are returned to the abdomen and the opening is closed. With a giant omphalocele, the exposed organs are gradually and carefully returned to the abdomen over a period of days or weeks, at which point the abdomen is closed. The long-term prognosis largely depends on the size of the omphalocele, and whether it is isolated or part of a syndrome with other birth defects.

Back to top